Tuberculosis (TB), is a bacterial disease caused by Mycobacterium tuberculosis, which most commonly affects the lungs. It is transmitted when someone inhales the droplets dispersed in the air when a patient coughs in the air. Less commonly, it can affect other organs like the lymph nodes, gastrointestinal system, kidney, bladder and brain. Tuberculosis is closely linked to both overcrowding and malnutrition, making it one of the principal diseases linked to poverty. Those at high risk include drug abusers, people in high density places such as prisons and homeless shelters, those with impaired immune systems eg AIDS or cancer.
Symptoms
Symptoms may not be present in the early stage of TB. When symptoms of pulmonary TB occur, they may include:
- Prolonged cough
- Coughing up blood
- Excessive sweating, especially at night
- Fatigue
- Fever
- Weight loss
- Breathing difficulty
- Chest pain
- Wheezing
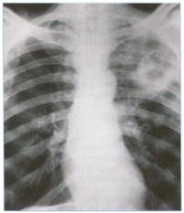
Diagnosis
Diagnosis of active TB relies usually on chest X ray, as well as microscopic examination and microbiological culture of body fluids.
Tests may include:
- Chest Xray
- Chest CT Scan
- Bronchoscopy
- Blood tests like the T Spot test and Quantiferon test
- Sputum examination and cultures
- Thoracentesis
- Pleural biopsy
Treatment
The goal of treatment is to cure the infection with drugs that fight the TB bacteria. Treatment of active pulmonary TB will always involve a combination of multiple drugs (usually four drugs initially) for an average of 6 months.
The most commonly used drugs include:
- Isoniazid
- Rifampicin
- Pyrazinamide
- Ethambutol
- Streptomycin
Cure rate is very high (>95%) if patients are compliant. It is very important that patients take the pills as prescribed by the doctor. When people do not take their TB medications as prescribed and default follow-up, the TB bacteria may become resistant to drugs. Outcomes of patient with drug resistant tuberculosis, especially multi-drug resistant tuberculosis is poor.
Patients with active pulmonary tuberculosis are usually advised to stay at home or be admitted to a hospital for 2 weeks at the initial period to avoid spreading the disease to others. Symptoms often improve in 2 – 3 weeks but chest x-ray improvement usually lags behind.


